Publications


2020-2025

model of the plant circadian oscillator

The time machine: feedback loops, post-transcriptional regulation, and environmental integration in the plant circadian oscillator

Stacey Harmer (2025) The Plant Journal

 

circadian period phenotypes of rve mutants are different in red and blue light

Light quality-dependent roles of REVEILLE proteins in the circadian system

Cassandra Hughes, Yuyan An, Julin Maloof, and Stacey Harmer (2024) Plant Direct

 

plants as seen in white light or by luciferase activity

A luciferase imaging-based assay for studying temperature compensation of the circadian clock

Hongtao Zhang and Stacey Harmer (2024) Methods in Molecular Biology: Thermomorophogenesis

 

phototropism compared to heliotropism

Multiple light signaling pathways control solar tracking in sunflowers

Chris Brooks, Hagop Atamian, and Stacey Harmer (2023) PLoS Biology

Two polar plots showing mis-spliced clock-regulated genes by phase distribution and Fisher’s exact test significance.

XAP5 CIRCADIAN TIMEKEEPER regulates RNA splicing and the circadian clock by genetically separable pathways

Hongtao Zhang, Rod Kumimoto, Shajahan Anver, Stacey Harmer (2023) Plant Physiology

Side-by-side sunflower heads showing contrasting spiral patterns of florets with different developmental arrangements.

The circadian clock controls temporal and spatial patterns of floral development in sunflower

Carine Marshall, Veronica Thompson, Nicky Creux, and Stacey Harmer (2023) eLife

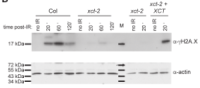
Western blot showing H2A.X and actin in Col, xct-2, and rescue lines at different times post-irradiation.

XAP5 CIRCADIAN TIMEKEEPER affects both DNA damage responses and immune signaling in Arabidopsis

Rod Kumimoto, Cory Ellison, Tania Toruño, Aurélie Bak, Hongtao Zhang, Clare Casteel, Gitta Coaker, and Stacey Harmer (2021) Frontiers in Plant Science

Line graph of sunflower stem angle over multiple days, showing rhythmic oscillations between east and west orientation.

Flower orientation influences floral temperature, pollinator visits and plant fitness

Nicky Creux, Evan Brown, Austin Garner, Sana Saeed, Lane Scher, Srinidhi Holalu, Daniel Yang, Julin Maloof, Benjamin Blackman, and Stacey Harmer (2021) New Phytologist

Line graph of normalized intensity over time in constant light, showing rhythmic upregulated and downregulated gene sets.

A TILLING by sequencing approach to identify induced mutations in sunflower genes

Valentina Fanelli, Kathie Ngo, Veronica Thompson, Brennan Silva, Helen Tsai, Wilma Sabetta, Cinzia Montemurro, Luca Comai, and Stacey Harmer (2021) Scientific Reports


2015-2019

Schematic of photoperiod influence on circadian rhythms, showing daily and seasonal outputs linked to light cycles.

Circadian rhythms in plants

Nicky Creux and Stacey Harmer (2019) Cold Spring Harbor Perspectives in Biology

Bar chart showing circadian period length in Col, jmjd5-1 mutants, and rescue with At JMJD5 or Hs JMJD5.

Arabidopsis JMJD5/JMJ30 acts independently of LUX ARRHYTHMO within the plant circadian clock to enable temperature compensation

Matt Jones, Kengo Morohashi, Erich Grotewold, and Stacey Harmer (2019) Front Plant Sci

Stacked bar charts comparing rhythmicity classes of clock mutants across 12°C, 22°C, and 30°C growth conditions.

Multiple feedback loops of the Arabidopsis circadian clock provide rhythmic robustness across environmental conditions

Akiva Shalit-Kaneh, Rod Kumimoto, Vladimir Filkov, and Stacey Harmer (2018) PNAS

Diagram of circadian clock gene network showing CCA1, LHY, RVE factors, PRRs, TOC1, LUX, ELF genes, and evening outputs.

Growth-mediated plant movements - hidden in plain sight

Stacey Harmer and Chris Brooks (2017) Curr Opin Plant Biol

Two line plots of phase shifts in June, July, and September, showing peak in July with p-values listed below.

Circadian rhythms vary over the growing season and correlate with fitness components

Matthew Rubin, Marcus Brock, Amanda Davis, Zachary German, Mary Knapp, Steve Welch, Stacey Harmer, Julin Maloof, Seth Davis, and Cynthia Weinig (2017) Mol Ecology

Bar graph showing IAA levels in Col, RVE1 overexpressor, rve1, and rve1 rve2 rve7 mutants at ZT4 and ZT14.

The REVEILLE clock genes inhibit growth of juvenile and adult plants by control of cell size

Jennifer Gray, Akiva Shalit-Kaneh, Dalena Chu, Polly Hsu, and Stacey Harmer (2017) Plant Phys

Two false-color images of seedlings after 4 hours, comparing DMSO control and NPA treatment showing altered fluorescence.

YUCCA auxin biosynthetic genes are required for Arabidopsis shade avoidance

Patricia Müller-Moulé, Kazu Nozue, Melissa Pytlak, Christine Palmer, Mike Covington, Andii Wallace, Stacey Harmer, and Julin Maloof (2016) PeerJ

Line graph of sunflower stem angle over multiple days, showing rhythmic oscillations between east and west orientation.

Circadian regulation of sunflower heliotropism, floral orientation, and pollinator visits

Hagop Atamian, Nicky Creux, Evan Brown, Austin Garner, Ben Blackman, and Stacey Harmer (2016) Science

Bar chart showing percentage of circadian clock-regulated genes linked to different phytohormones with significance stars.

Circadian regulation of hormone signaling and plant physiology

Hagop Atamian and Stacey Harmer (2016) Plant Mol Biol

Line graph showing circadian period across red light fluence rates, with three genotypes plotted in black, blue, and red.

A constitutively active allele of phytochrome B maintains circadian robustness in the absence of light

Matt Jones, Wei Hu, Suzanne Lithauer, Clark Lagarias, and Stacey Harmer (2015) Plant Phys

ANOVA results table showing genotype, treatment, and interaction terms tested across multiple experimental trials.

Reassess the t test - interact with all your data via ANOVA

Siobhan Brady, Meike Burow,Wolfgang Busch,Orjan Carlborg, Katherine Denby, Jane Glazebrook, Eric Hamilton, Stacey Harmer, Liz Haswell, Julin Maloof, Nathan Springer, and Dan Kliebenstein (2015) Plant Cell


2010-2014

Line graph of sunflower stem angle over multiple days, showing rhythmic oscillations between east and west orientation.

Turning heads - the biology of solar tracking in sunflower

Joshua Vandenbrink, Evan Brown, Stacey Harmer, and Ben Blackman (2014) Plant Sci

Diagram linking H2A.Z and Xap5 to aberrant transcripts, stress-responsive genes, repeats, and growth/stress responses.

Yeast X‐chromosome‐associated protein 5 (Xap5) functions with H2A.Z to suppress aberrant transcripts

Shajahan Anver, Assen Roguev, Martin Zofall, Nevan Krogan, Shiv Grewal, and Stacey Harmer (2014) EMBO reports

Experimental timeline showing entrainment period, transition to free-run, and sampling points marked along circadian cycles.

Global profiling of the circadian transcriptome using microarrays

Polly Hsu and Stacey Harmer (2014) Methods Mol Biol

Color-coded diagram of circadian feedback loops (A, B, C, D) connecting CCA1, LHY, TOC1, PRRs, ZTL, GI, and CHE1.

Wheels within wheels - the plant circadian system

Polly Hsu and Stacey Harmer (2014) Trends Plant Sci

Bioluminescence traces of Arabidopsis seedlings under constant light conditions showing circadian oscillations over 108 hours.

Accurate timekeeping is controlled by a cycling activator in Arabidopsis

Polly Hsu, Upendra Devisetty, and Stacey Harmer (2013) eLife

Schematic of DNA methylation pathways in Arabidopsis transposable elements with proteins, histone marks, and nucleosomes.

The Arabidopsis nucleosome remodeler DDM1 allows DNA methyltransferases to access H1-containing heterochromatin

Assaf Zemach, Yvonne Kim, Ping Hsieh, Devin Coleman-Derr,Leor Eshed-Williams, Ka Thao, Stacey Harmer, and Daniel Zilberman (2013) Cell

Line graph showing circadian period across red light fluence rates, with three genotypes plotted in black, blue, and red.

Unanticipated regulatory roles for Arabidopsis phytochromes revealed by null mutant analysis

Wei Hu, Keara Franklin, Robert Sharrock, Matt Jones, Stacey Harmer, and Clark Lagarias (2012) PNAS

Fluorescent micrographs of leaf epidermal cells with arrowheads pointing to nuclei or organelles stained in green and blue.

Mutation of Arabidopsis SPLICEOSOMAL TIMEKEEPER LOCUS1 causes circadian clock defects

Matt Jones, Brian Williams, Jim McNicol, Craig Simpson, John Brown, and Stacey Harmer (2012) Plant Cell

Bar graph showing circadian period lengths for Col and rve mutants, with double and triple mutants having longer periods.

REVEILLE8 and PSEUDO-REPONSE REGULATOR5 Form a Negative Feedback Loop within the Arabidopsis Circadian Clock

Reetika Rawat, Nozomu Takahashi, Polly Hsu, Matt Jones, Koby Schwartz, Michelle Salemi, Brett Phinney, and Stacey Harmer (2011) PLoS Genetics

Bioluminescence traces over 120 hours comparing Col, jmjd5-1, toc1-4, and double mutants, showing rhythmic differences.

JMJD5 Functions in concert with TOC1 in the Arabidopsis circadian system

Matt Jones and Stacey Harmer (2011) Plant Signal Behav

Seedling and adult Arabidopsis plants of WT, ein3-1, xct-2, and double mutants showing growth differences.

XAP5 CIRCADIAN TIMEKEEPER regulates ethylene responses in aerial tissues of Arabidopsis

Cory Ellison, Filip Vandenbussche, Dominique Van Der Straeten, and Stacey Harmer (2011) Plant Phys

Two network diagrams showing connections between metabolites, with nodes colored red, yellow, or white and linked by lines.

Network quantitative trait loci mapping of circadian clock outputs identifies metabolic pathway-to-clock linkages in Arabidopsis

Rachel Kerwin, Jose Jimenez-Gomez, Dan Fulop, Stacey Harmer, Julin Maloof, and Dan Kliebenstein (2011) Plant Cell

Bar chart showing circadian period length in Col, jmjd5-1 mutants, and rescue with At JMJD5 or Hs JMJD5.

Jumonji domain protein JMJD5 functions in both the plant and human circadian systems

Matt Jones, Mike Covington, Luciano DiTacchio, Chris Vollmers, Satchin Panda, and Stacey Harmer (2010) PNAS

Diagram showing cycle of cell wall synthesis, auxin relocation, loosening, water influx, and cell elongation.

Plant biology in the fourth dimension

Stacey Harmer (2010) Plant Phys


2000-2009

Line graphs comparing toc1-2 and ztl-27 circadian rhythms across different Zeitgeber times with shaded night phases.

The circadian system in higher plants

Stacey Harmer (2009) Ann Rev Plant Bio

Line graph of normalized intensity over time in constant light, showing rhythmic upregulated and downregulated gene sets.

Global transcriptome analysis reveals circadian regulation of key pathways in plant growth and development

Mike Covington, Julin Maloof, Marty Straume, Steve Kay, and Stacey Harmer (2008) Genome Biol

Red fluorescent protein array showing grid of illuminated spots with varying signal intensities across the matrix.

The development of protein microarrays and their applications in DNA–protein and protein–protein interaction analyses of Arabidopsis transcription factors

Gong Wei, He Kun, Mike Covington, Dinesh-Kumar, Mike Snyder, Stacey Harmer, Yu-Xian Zhu, Xing Wang Deng (2008) Mol Plant

Line graph of normalized intensity over time in constant light, showing rhythmic upregulated and downregulated gene sets.

Mechanical stress induces biotic and abiotic stress responses via a novel cis-element

Justin Walley, Sean Coughlan, Matt Hudson, Mike Covington, Roy Kaspi, Gopalan Banu, Stacey Harmer, and Katie Dehesh (2007) PLoS Genetics

Line graph of bioluminescence over 96 hours in constant light showing rhythmic oscillations across colored data traces.

The circadian clock regulates auxin signaling and responses in Arabidopsis

Michael Covington and Stacey Harmer (2007) PLoS Bio

external coincidence model for PIF regulation

Rhythmic growth explained by coincidence between internal and external cues

Kazu Nozue, Mike Covington, Paula Duek, Séverine Lorrain, Christian Fankhauser, Stacey Harmer and Julin Maloof (2007) Nature

Expression trace in gi mutants with TOC1, ZTL.

GIGANTEA regulates phytochrome A-mediated photomorphogenesis independently of its role in the circadian clock

Karina Oliverio, María Crepy, Ellen Martin-Tryon, Raechel Milich, Stacey Harmer, Jo Putterill, Marcelo Yanovsky, and Jorge Casal (2007) Plant Phys

Venn diagram with outer teal circle labeled DE and inner yellow circle labeled CCG, showing overlap of 483 genes.

Circadian regulation of global gene expression and metabolism

Stacey Harmer, Mike Covington, Oliver Blasing, and Mark Stitt (2006) Endogenous Plant Rhythms

Line graph showing circadian period across red light fluence rates, with three genotypes plotted in black, blue, and red.

Overlapping and distinct roles of PRR7 and PRR9 in the Arabidopsis circadian clock

Eva Farré, Stacey Harmer, Frank Harmon, Marcelo Yanovsky, and Steve Kay (2005) Current Biology

Bioluminescence traces of Arabidopsis seedlings under constant light conditions showing circadian oscillations over 108 hours.

Critical role for CCA1 and LHY in maintaining circadian rhythmicity in Arabidopsis

David Alabadi, Marcelo Yanovsky, Paloma Mas, Stacey Harmer, and Steve Kay (2002) Current Biology

Color-coded diagram of circadian feedback loops (A, B, C, D) connecting CCA1, LHY, TOC1, PRRs, ZTL, GI, and CHE1.

Molecular bases of circadian rhythms

Satchin Panda, Stacey Harmer, and Steve Kay (2001) Ann Rev Cell Dev Bio

identification of evening element in promoter sequences

Orchestrated transcription of key pathways in Arabidopsis by the circadian clock

Stacey Harmer, John Hogenesch, Marty Straume, Hur-Song Chang, Bin Han, Tony Zhu, Xun Wang, Joel Kreps, and Steve Kay (2000) Science